SAKO’da tıp tarihine geçen olay! Boyuna takılan disk yemek borusunu delip mideye indi!
Boyun fıtığı ameliyatı ile omurlara takılan metalik disklerin önce yemek borusuna, daha sonra mideyeinmesinedeniyle ölümle burun buruna gelenhasta, SANKO Üniversitesi Hastanesi’nde gerçekleştirilen başarılı operasyonla sağlığına kavuştu.
Hasta ve tedaviyi gerçekleştiren ekibin katılımı ile düzenlenen bilgilendirme toplantısında konuşan SANKO Üniversitesi Tıp Fakültesi Dekanı Prof. Dr. Salih Murat Akkın, “Hastanemiz tüm branşlarda üst düzey sağlık hizmeti sunuyor” dedi.
Vakayı, “Çok ender görülen karmaşık süreçli” olarak tanımlayan Prof. Dr. Akkın, “Süreci doğru yöneterek sonuçlandıran ülkemizin önemli göğüs cerrahlarından Prof. Dr. Levent Elbeyli’nin liderliğinde İç Hastalıkları Ana Bilim Dalı Gastroenteroloji Bölümümüzden Doç. Dr. Nimet Yılmaz ile Anesteziyoloji ve Reanimasyon Ana Bilim Dalımız adına Doç. Dr. Betül Şimşek’le birlikteyiz. Hastamızı sağlığına kavuşturmanın gururunu yaşıyoruz” ifadelerini kullandı.

HASTA SULTAN TIRAŞ
Kahramanmaraşlı ev hanımı Sultan Tıraş (40), sekiz ay önce kolunun sık sık uyuşması nedeniyle bir sağlık kuruluşuna başvurduğunda, boyun fıtığıteşhisi konulduğunu ve yapılan ameliyatta boyun omurlarına metal diskyerleştirildiğini söyledi.
Operasyon sonrası rahatladığını ancak ameliyattan iki ay sonra gırtlağında batmalar hissettiğini belirten Tıraş, “Ağrılarımın artması üzerine doktora gittiğimde ‘büyük bir ağrın yoksa normal yaşantına devam edebilirsin denildi. Şubat ayında yaşanan deprem felaketisonrası Bursa’ya gittim, şikayetlerinin devam etmesi üzerine orada da doktora gittim” diye konuştu.
Bursa’daki doktorun, boyun omuruna takılan metal diskin gırtlağını delme ihtimali olduğunu bildirdiğini kaydeden Tıraş, Kahramanmaraş’a döndüğünde doktorların acil ameliyat olması gerektiğini söylediklerini ifade etti.

PROF. DR. ELBEYLİ’YE YÖNLENDİRİLDİM
Tıraş, Gaziantep’te bir özel hastanede kendisini muayene eden doktorun, ameliyatla takılan boyundaki diski ameliyatla aldığını, ancak diğerinin yemek borusunu delip mideye indiğini ve ciddi sorunla karşı karşıya olduğuna dikkat çekerek, acilen bu konuda deneyimli olan SANKO Üniversitesi Hastanesi’nde Prof. Dr. Levent Elbeyli’ye yönlendirdiğine vurgu yaptı.
Yakınlarınca SANKO Üniversitesi Hastanesi’ne bilinci kapalı olarak getirilmesinin ardından yoğun bakım ünitesine alındığını anlatan Tıraş, sözlerini şöyle tamamladı:
“Ertesi gün ameliyata alındım veardından on gün hastanede kaldım. Çok iyi bakım tedavi ve yapıldı,şükür sağlığıma kavuştum. Çok iyiyim, ölümün kıyısından döndüm. Herkese önerim, ameliyat olacağınız hastaneyi ve doktoru iyi araştırın. Beni sağlığıma kavuşturan hocamıza, ekibe ve SANKO Üniversitesi Hastanesi’ne teşekkür ederim.”

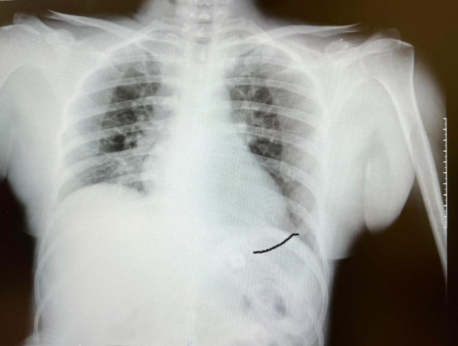
METALİK APARAT GIRTLAĞI DELEREK MİDEYE İNMİŞ
SANKO Üniversitesi Tıp Fakültesi Göğüs Cerrahisi Ana Bilim Dalı Başkanı Prof. Dr. Elbeyli, bilinci kapalı olarak hastaneye getirilen Sultan Tıraş’ın, ciddi ve hayatını kaybetme riski çok yüksek bir olay yaşadığını vurguladı.
Sultan Tıraş’ın Gaziantep’te başka özel hastanede yapılan radyolojik tetkikler ve değerlendirmeler sonucu daha önce başka bir merkezde boyun omurlarına yerleştirilen metal disklerin yerinden oynadığının saptandığını anımsatanProf. Dr. Elbeyli, sözlerini şöyle sürdürdü:
“O hastanede beyin ve sinir cerrahisi uzmanı tarafından ameliyata alınan Sultan Tıraş’ın boyun omuruna konulan iki aparattan biri çıkarılmış, ancak diğerinin yemek borusunu delip mideye indiğibelirlenmiş.İlgili hekim bana ulaşarak bilgilendirmeyi yaptı ve hastayı hastanemize sevk etti.
Yoğun bakıma alınan hastayayaptığımız detaylı tetkikler ve klinik değerlendirme sonucu mediyastenit (ciddi göğüs enfeksiyonu) saptandı. Bu ciddi bir sorun olup, hayati riski yüksektir. En hızlı şekilde tıbbi tedaviye başladık,gastroenteroloji bölümümüzde endoskopi yapıldı.
Yemek borusunda oluşan delik ve delikten mideye inen metalik cerrahi aparat görüldü. Göğüs kafesi içinde ciddi bir iltihap ve hava birikimi vardı. Hasta yakınları durum ile ilgili bilgilendirildi, riskler kendileri ile paylaşılarak hastamıza tıbbi müdahale edebilmemiz gerekli onayları alındı.”
“Yaklaşık 6 saat süren bir ameliyat oldu. Hastamıza ilk endoskopik yol ile göğüs orta bölümdeki (mediasten ki bu bölgeye insan hayatının makine dairesi deriz) cerahat boşaltılıp tahliye edildi. Daha sonra boyun bölgesindeki biriken iltihaptemizlendi. Yemek borundaki 2 cm’lik perforasyon (delik) tespiti ve tamiriyapıldı” diyen Prof. Dr. Elbeyli, şu bilgileri paylaştı:
“Hastamız ameliyat sonrası bir süre yoğun bakımda, daha sonra serviste izlendi ve tedavi sonrası şifa ile taburcu edildi. Hastamızın yaşadığı bu durum, tıp literatüründe ender görülen bir olay olup ciddi ve yüksek hayati riski içerir. Sultan Hanımın sağlığına kavuşmasında emeği geçen herkesi kutluyorum.”
Prof. Dr. Elbeyli “Bu şehre ve dolayısıyla bölgeye böyle bir hastane kazandırdıkları için SANKO Ailesine teşekkür ederim. Ülkemizin sınıf atladığı alanlardan biri de sağlıktır. Bölgenin gözbebeği olan hastanemiz, kurucusundan hekimlerine, yönetiminden idari çalışanlarına kadar en iyisini sunmak için azami çaba gösteriyoruz” diyerek sözlerini tamamladı.

HASTANIN ENDOSKOPİK İNCELEMESİNDE YABANCI CİSİM TESPİT EDİLDİ
SANKO Üniversitesi Tıp Fakültesi İç Hastalıkları Ana Bilim DalıGastroenteroloji Bölümü Öğr. Üyesi Doç. Dr. Nimet Yılmaz, hastanın yutma güçlüğü ve nefes alamama şikayetleri nedeniyle SANKO Üniversitesi Hastanesi Göğüs Cerrahisi Bölümü’nden yönlendirildiğini bildirdi.
Hastanın şikayetleri üzerine endoskopi (cerrahi müdahale olmaksızın sindirim sistemini incelemek amacıyla hastanın ağızdan girilmesi şeklindeyapılan işlem) yaptıklarını anlatan Doç. Dr. Yılmaz, şu bilgileri aktardı:
“Endoskopi sırasında hastanın midesinde metalik bir oluşuma benzer yabancı cisim ile yemek borusunda ülser görünümüizledik. Lezyon bölgesi belirlendikten sonra hastamızıntedavisi için Göğüs Cerrahisi Bölümümüze durumu ilettik. Prof. Dr. Levent Elbeyli Hocamız hastamızın sağlığına kavuşması için gerekli tedaviyi planlayarak, başarılı bir operasyonla sonuca ulaştı. Emeği geçen herkese teşekkür ediyorum. Hastamızı sağlıklı bir ömür diliyorum.”
YOĞUN BAKIM SÜREÇLERİNDE ŞANSLIYIZ
SANKO Üniversitesi Tıp Fakültesi Anesteziyoloji ve Reanimasyon Ana Bilim Öğr. Üyesi Doç. Dr. Betül Şimşek ise süreçle ilgili şunları kaydetti:
“Yoğun bakım sürecinde hastane olarak çok şanslıyız. Her türlü teçhizatın bulunduğu nadir yoğun bakımlardan birine sahip olduğumuz için hastalarımıza çok hızlı müdahale edebiliyoruz. Hastamızı da başta hocalarım ve gerekli teçhizatlarla birlikte bugüne getirmiş olduk. Emeği geçen herkese teşekkür ederim.”
Basın toplantısına SANKO Hastanesi Genel Müdür Yardımcısı Rabia Ağar ve Mesul Müdür Dr. Suat Özerbaş da katıldı.

Türkçe karakter kullanılmayan ve büyük harflerle yazılmış yorumlar onaylanmamaktadır.